服务热线

19898895478

TEL:19898895478

TEM透射电镜_显微形貌分析_检测分析_火灾鉴定_第三方检测鉴定机构|中洋检测鉴定实验室

中洋鉴定业务服务行业

负染

负染色也称阴性反差染色,是用高密度的重金属盐在标本外周形成电子不能穿透的包围层,而标本本身相对通过较多的电子,在电镜下比较浅淡,与周围的深暗背景形成反差。


咨询工程师 →

超薄切片

超薄切片是使用超薄切片机将树脂包埋的样本进行切片,切片厚度一般为50-80nm左右,用无碳芳华膜铜网进行捞片,然后重金属染色,常温干燥保存。


咨询工程师 →

半薄切片

半薄切片是使用超薄切片机将树脂包埋的样本进行切片,切片厚度一般为1.5μm左右,用防脱玻片进行捞片。主要应用为组织显微结构观察,超薄切片定位。半薄切片常用甲苯胺蓝或者亚甲基蓝染色,恒温箱烤干,中性树胶封片,光学显微镜观察组织显微结构。


咨询工程师 →

树脂包埋

树脂包埋是将客户处理后固定在电镜固定液中的标本,进行修整、ES后固定、脱水、树脂渗透等过程后,采用进口环氧树脂812作为包埋剂,将组织标本包埋在树脂中。


咨询工程师 →

透射电镜全套

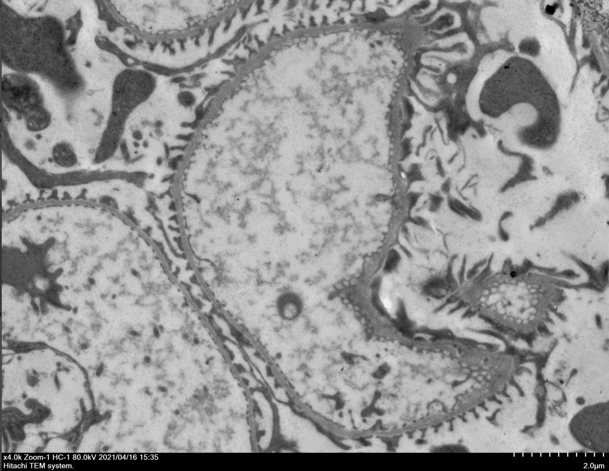
透射电镜(TEM),全称透射电子显微镜,是把经加速和聚集的电子束透射到非常薄的样品上,电子与样品中的原子碰撞而改变方向,从而产生立体角散射。散射角的大小与样品的密度、厚度相关,因此可以形成明暗不同的影像,影像将在放大、聚焦后在成像器件上显示出来。是一种高分辨率(0.1nm-0.2nm)、高放大倍数(几千-几十万倍)的显微镜。是观察和研究物质超微结构的重要工具。

中洋检测透射电镜平台主要设备:透射电镜日立HT7800120kv  超薄切片机型号:Leica EM UC7  玻璃制刀机:Leica EM KMR3

 

咨询工程师 →

关于我们

火灾鉴定_第三方检测鉴定机构|中洋检测鉴定实验室

中洋实验室拥有一支高水平的检测、试验、分析、研发队伍、以国家、行业、地方和企业的技术规范或标准为依据,以先进的检测设备和检测技术手段为基础的第三方检测与分析的新型实验室,确保检测、鉴定、评估结果的客观、准确、公正。中洋实验室面积达1000余平方米,各类检测鉴定分析仪器总投入超五千万元,精密科学仪器皆为海外采购,拥有材料(金属、非金属)分析实验室、红外光谱分析室、透射电镜实验室、扫描电镜实验室、SAM声扫实验室,X-Ray实验室,气相色谱质谱实验室,电子电器分析实验室、金相分析实验室、电气设备测试实验室、力学性能检测实验室等多个分析检测实验室。


扫描电镜实验室

透射电镜实验室

气相色谱质谱实验室

红外光谱实验室

力学实验室

金相分析实验室

为什么选择我们

检测流程

沟通需求

沟通需求

欢迎您与中洋检测工程师沟通业务需求,可预约工程师来公司实验室考察。

咨询工程师

寄送样品

寄送样品

寄送样品或工程师上门取样,签订合同

咨询工程师

样品分析

样品分析

仪器分析检测样品,工程师汇总数据报告

咨询工程师

寄送报告

寄送报告

为您寄送报告,工程师主动售后回访,解决您的售后疑惑

咨询工程师

更多服务推荐

  • 产品标准检测

    依据项目标准检测技术服务

  • 大型仪器测试

    依据客户需求测试技术服务

  • 未知物分析

    对异物、未知物成分分析

  • 产品成分分析

    产品成分定性定量技术服务